這次、我們將用簡單的筆法
極美;但簡單
領略技術的極簡跟淬鍊;跟材料的萬千運用
所以睽違兩年,這次鳴泰帶來了
【簡單。染】
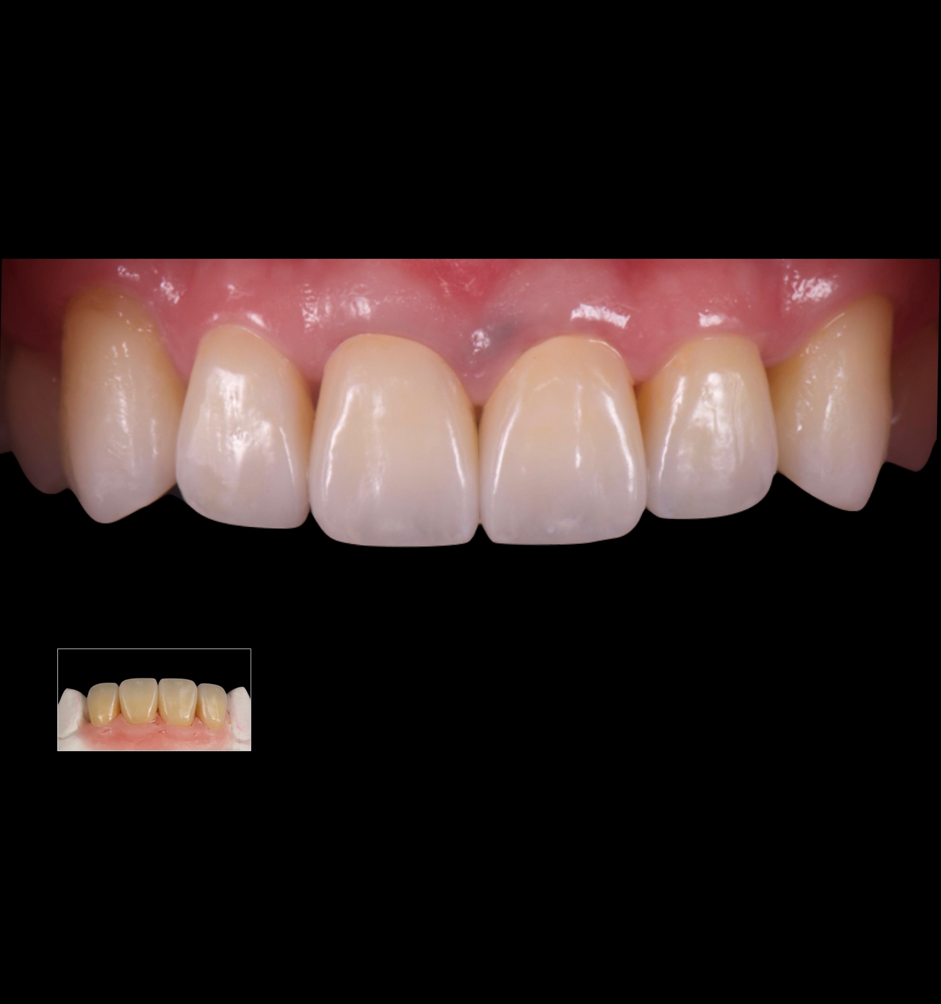
跟我們一起進入二矽酸鋰
贋復微堆瓷的課程,染。簡單
這堂課特別適合:
*牙醫師/牙技師
*有臨床贋復染色需求
*有數位設計車削經驗
*診所/牙體技術所擁有數位設備
*有操作二矽酸鋰經驗

*廣泛二矽酸鋰應用原理
*不同透度(HT MT LT MO)表現
*貼面處理原則
*如何表現不同年齡齒況(老年VS.少年)
*微堆技法展示
講師:蘇聖文技師 (天野齒 Leo Liao Arteeth Studio)
📌 本課程已通過認證,牙體技術師可申請繼續教育學分 7.8 分


注意:一旦購票成功後,後續要退票ACCUPASS就會酌收10%退票手續費
【退票規則詳細說明】
票券可使用時間 8日前尚可辦理退票,並會酌收票價 10% 退票手續費;逾期恕不受理退票。
→申請期限說明:以2025年12月份為例,活動開始日期為12月7日,報名人最遲於11月30日23:59前可申請退票。12月1日00:00開始無法受理退票。針對匯退之訂單,若所提供之銀行帳戶非國泰世華銀行,銀行端可能會收取15元的跨行轉帳手續費,此費用將由退票者負擔。
#HASS
#Amber Mill
#贋復
#微堆瓷
#牙技



